Dental Implants

Can You Get Dental Implants If You Have Bone Loss?

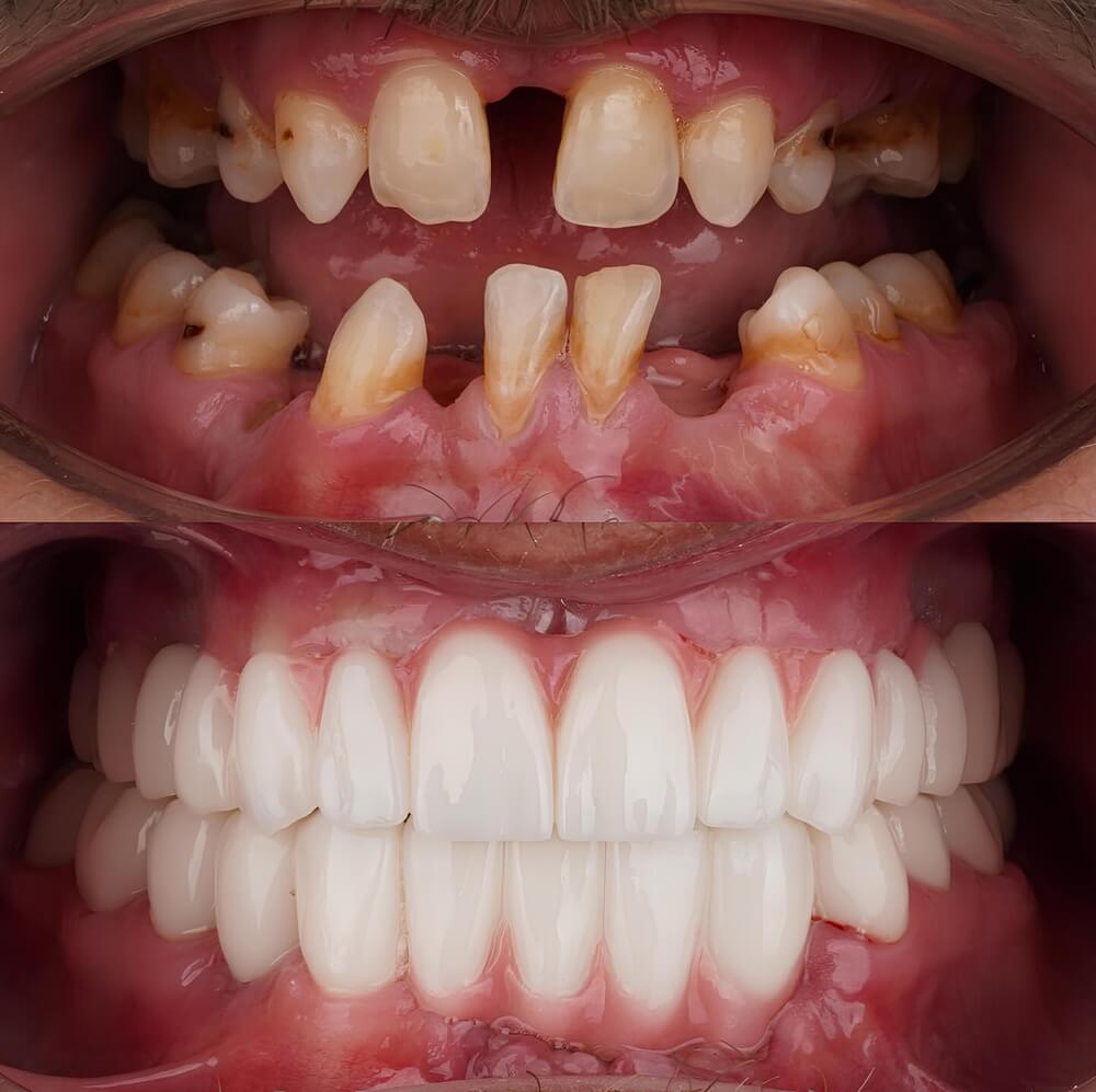
dental implants bone loss

Dental Implants and Bone Loss – Are Implants Still Possible?

Bone loss is a common concern for patients considering dental implants. Many people believe they cannot have implants because their jawbone has weakened over time. However, modern dental implant planning techniques allow dentists to assess bone levels accurately and determine whether implants are still possible.

In many cases, patients with moderate bone loss can still receive dental implants with proper planning and imaging.

Why Bone Loss Happens After Tooth Loss

When a tooth is lost, the jawbone in that area begins to shrink. This happens because the bone no longer receives stimulation from the tooth root. Over time, the bone can gradually reduce in height and width.

For example, bone loss may occur due to:

  • missing teeth
  • gum disease
  • long-term denture use
  • trauma or infection

How Dentists Assess Bone for Dental Implants

Before placing implants, dentists must evaluate the available bone carefully.

A 3D CT scan allows dentists to:

  • measure bone height and width
  • locate important anatomical structures
  • plan implant placement safely

You can learn more about this process in our guide on
CT scans for dental implant safety.

Treatment Options When Bone Is Limited

Even when bone loss is present, several solutions may still allow implant treatment.

These may include:

  • bone grafting procedures
  • shorter or angled implants
  • full arch implant solutions such as All-on-4

A consultation allows the dentist to determine the best approach based on your individual case.

Book a Dental Implant Consultation

If you are concerned about bone loss, the best step is to book a consultation so a dentist can assess your bone levels using modern imaging.

Learn more about dental implant consultations in Dublin.

FAQ 

Can dental implants be placed with bone loss?
Yes. Many patients with moderate bone loss can still receive implants after proper evaluation using CT imaging.

What happens if there is not enough bone for implants?
Dentists may recommend bone grafting or alternative implant techniques depending on the amount of bone available.

How do dentists check bone for implants?
Dentists use a 3D CT scan to measure bone density, height and width before planning implant placement.

Leave a Reply

Your email address will not be published. Required fields are marked *